Cavernomas Cerebrais
NEUROLOGIA
4/17/20254 min read


Cavernomas Cerebrais
Os cavernomas cerebrais, também conhecidos como malformações cavernosas ou angiomas cavernosos, são lesões vasculares benignas compostas por aglomerados de capilares dilatados e anômalos. Essas formações apresentam características únicas que as diferenciam de outras malformações vasculares e podem causar sintomas variados dependendo de sua localização e interação com o tecido encefálico circundante. Este artigo detalha os aspectos relacionados à patogênese, apresentação clínica, diagnóstico e manejo dos cavernomas cerebrais.
Epidemiologia
Os cavernomas cerebrais são encontrados em aproximadamente 0,4% a 0,8% da população geral, muitas vezes de forma incidental durante exames de imagem realizados por outros motivos. Embora possam ocorrer em qualquer idade, são frequentemente diagnosticados entre a terceira e a quinta décadas de vida. Não há predileção significativa por sexo, e os casos familiares são mais comuns em populações com alta prevalência de mutações genéticas associadas.
Patogênese e Aspectos Genéticos
A origem dos cavernomas cerebrais pode ser atribuída a fatores genéticos e adquiridos. Aproximadamente 20% dos casos apresentam herança autossômica dominante, associada a mutações nos genes CCM1 (KRIT1), CCM2 (MGC4607) e CCM3 (PDCD10). Esses genes são cruciais para a manutenção da integridade e estabilidade da parede vascular. A disfunção nesses genes resulta em alterações estruturais que promovem a formação dos cavernomas.
Além disso, fatores ambientais ou lesões cerebrais adquiridas também podem estar associados à formação dessas lesões, embora esses mecanismos ainda não sejam completamente compreendidos. Histologicamente, os cavernomas são formados por vasos sanguíneos dilatados com paredes compostas exclusivamente por endotélio, sem músculo liso ou tecido elástico. O tecido cerebral adjacente à lesão geralmente apresenta sinais de hemorragias prévias e deposição de hemossiderina.
Fisiopatologia
Os cavernomas são considerados lesões de baixo fluxo, com tendência a hemorragias recorrentes. O sangramento ocorre devido à fragilidade das paredes vasculares, que não possuem as camadas protetoras de tecidos típicas de vasos normais. Esses eventos podem levar a um ciclo de inflamação crônica, danos no tecido cerebral adjacente e aumento progressivo da lesão.
Manifestações Clínicas
Os sintomas de um cavernoma cerebral variam amplamente, dependendo de fatores como localização, tamanho, atividade hemorrágica e interação com estruturas cerebrais vizinhas. Os sinais clínicos mais comuns incluem:
Crises Epilépticas: Estas são frequentemente a primeira manifestação de cavernomas localizados no córtex cerebral. As crises podem variar desde convulsões generalizadas até crises focais.
Déficits Neurológicos Focais: Alterações motoras, sensitivas ou de linguagem podem ocorrer dependendo do lobo cerebral acometido. Por exemplo, cavernomas no lobo frontal podem causar alterações comportamentais, enquanto aqueles no lobo occipital podem levar a distúrbios visuais.
Cefaleias: Comuns em pacientes com cavernomas, especialmente aqueles associados a hemorragias recentes ou edema cerebral.
Hemorragias Intracranianas: Embora menos frequentes, podem ser graves e causar sintomas agudos, como perda de consciência, vômitos e rigidez de nuca.
A gravidade e frequência dos sintomas geralmente dependem da história de hemorragias e da localização da lesão.
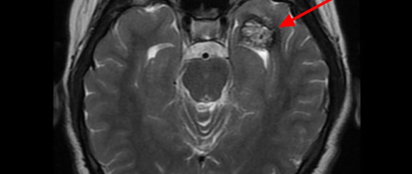
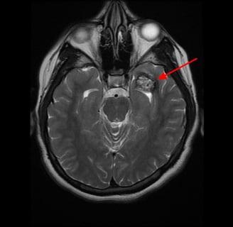
Diagnóstico
O diagnóstico de cavernoma é frequentemente feito por meio de ressonância magnética (RM) cerebral, que oferece alta sensibilidade para detectar essas lesões. As principais características radiológicas incluem:
Aspecto “popcorn”: Presença de áreas heterogêneas que representam hemorragias recentes e antigas, tecido fibroso e calcificação.
Halo Hipointenso em T2: Este sinal é causado pela deposição de hemossiderina ao redor da lesão, indicando hemorragias prévias.
Realce Mínimo ou Inexistente: Diferencia os cavernomas de outras malformações vasculares, como angiomas venosos ou arteriovenosos.
A angiografia cerebral geralmente não é útil para a identificação de cavernomas, uma vez que essas lesões possuem fluxo sanguíneo muito baixo ou inexistente.
Manejo e Tratamento
O tratamento dos cavernomas cerebrais depende de vários fatores, incluindo a gravidade dos sintomas, a localização da lesão e o risco de hemorragias futuras. As opções terapêuticas incluem:
Observação e Acompanhamento: Indicado em pacientes assintomáticos ou com sintomas leves. O monitoramento periódico com RM é recomendado para avaliar possível progressão da lesão.
Tratamento Medicamentoso: Utilizado para controle de crises epilépticas e sintomas associados. Anticonvulsivantes são frequentemente prescritos para pacientes com crises epilépticas.
Cirurgia: A ressecção cirúrgica é indicada em pacientes com crises epilépticas refratárias ou hemorragias recorrentes. O sucesso da cirurgia depende da acessibilidade e da localização da lesão.
Radiocirurgia Estereotáxica: Opção para cavernomas de difícil acesso cirúrgico. Embora eficaz na redução de hemorragias, sua segurança a longo prazo ainda é debatida.
Avanços Terapêuticos
Pesquisas recentes têm explorado terapias genéticas para corrigir mutações nos genes CCM, além de tratamentos antiangiogênicos para reduzir a formação de novos vasos anômalos. Técnicas como RM funcional têm auxiliado na avaliação da relação entre cavernomas e áreas cerebrais eloquentes, permitindo planejamento cirúrgico mais seguro.
Prognóstico
O prognóstico dos pacientes com cavernomas cerebrais varia amplamente. Lesões assintomáticas têm uma baixa probabilidade de progressão, enquanto pacientes com história de hemorragias ou crises epilépticas refratárias podem apresentar maior morbidade. O acompanhamento periódico é essencial para avaliar a evolução da lesão e ajustar o manejo conforme necessário.
Conclusão
Os cavernomas cerebrais são lesões vasculares benignas, mas podem causar sintomas significativos dependendo de sua localização e comportamento. Um entendimento detalhado dos aspectos genéticos, clínicos e radiológicos é fundamental para o manejo eficaz dessa condição, garantindo uma melhor qualidade de vida para os pacientes afetados.
Fé
Explorando a neurologia e a fé cristã.
Revelações
© 2025. All rights reserved.
@NeuroeFé-u6f
